A Perfect Smile, Joan's Reconstructive Journey
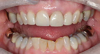
A 68-year-old woman came to our office with broken teeth and a damaged veneer. She wanted her teeth to look longer, whiter, and prevent further chipping.
For further reading, Please see Dr. Sweet’s full publication here.

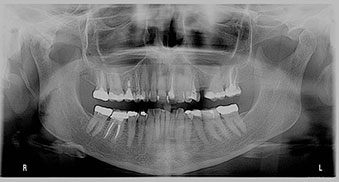
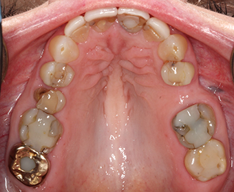
Before any major dental work, a dentist needs to check that your teeth come together properly when you bite and chew. This patient, who faced multiple problems with previous dental treatments, came to our office looking for a solution. The issue was an undiagnosed problem with her bite, which was causing the failure of her dental restorations. By using a specialized bite appliance to understand her bite, we created a plan that helped improve both the function and appearance of her smile.
A 68-year-old woman came to our office with broken teeth and a damaged veneer. She wanted her teeth to look longer, whiter, and prevent further chipping. She was also unhappy with the shape and colour of her front teeth. She had been experiencing bite issues, including jaw discomfort and tooth sensitivity, and had several previous failed dental treatments.


Our goal was to create a comfortable bite and improve the esthetics of her smile by:








The patient was very happy with the results, both in terms of the comfort of her bite and the appearance of her teeth. By fixing her bite and making sure her teeth and jaw joint were in the correct position, we were able to create a functional and beautiful smile that met her expectations. Her risk for future dental issues was reduced, and she left our office feeling confident in her smile and oral health.

This case shows how important it is to properly diagnose and treat bite issues before starting cosmetic dental work. With the right approach and tools, we were able to fix the functional problems that were causing the patient’s previous treatments to fail. This resulted in a long-lasting, beautiful smile that was both functional and esthetically pleasing.
Our office is in Saanichton on the corner of Wallace and Mt. Newton X Road. Walk through the building breezeway to the main entrance then take the stairs or elevator to the 2nd floor. There is plenty of parking and we are accessible along bus routes 72,75 and 81 BC Transit.